UCLA Health 加州大学洛杉矶分校医疗系统

国际儿童节 | 来自UCLA Health最优质的儿童眼科护理

UCLA Health医疗中心儿童眼科和斜视专家为各种儿童眼科问题提供全面的护理。我们也为影响儿童和成人眼位和眼运动的情况提供治疗。

UCLA Health加州罕见病中心(CCRD)对罕见疾病的护理

UCLA Health医疗中心的加州罕见病中心(CCRD)是医生、科学家和患者的合作之家,致力于改善罕见遗传疾病的诊断和临床护理、增进基本认知和创新疗法。

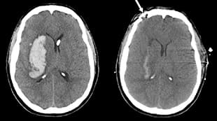
对中风说“不”!—来自UCLA Health医疗中心顶尖的神经科护理

根据美国疾病预防控制中心的定义,中风,也称为脑卒,发生在大脑部分的血液供应被阻塞或大脑的血管破裂时。任意一种情况都可能会导致大脑的某些部分受损或死亡。中风会导致持续性的脑损伤、长期残疾,甚至是死亡。

为什么UCLA Health医疗中心拥有首屈一指的肝脏项目?

UCLA Health医疗中心的肝移植项目是美国历史最悠久、最活跃的项目之一。自1984年启动以来,该项目已经为婴儿、儿童和成人进行了6000余次移植手术。 该项目以承接其他中心拒绝治疗的罕见、复杂病例而闻名,因此吸引了来自全国各地的患者。UCLA Health医疗中心的肝移植项目不仅专注于,且开发了当今最新的外科技术。

母亲节特辑:与UCLA Health共同呵护妈妈健康

五月八日是全球的母亲节,在这个庆祝全世界最伟大的人的日子里,UCLA Health医疗中心帮助各位母亲远离宫颈癌,祝愿每位“超人”健康长寿,做永远幸福的母亲。

UCLA Health医疗中心为广州富力医院提供生活方式、医学、和个性化营养专题演讲

022年4月12日,UCLA Health医疗中心向广州富力医院展开专题为预防和改善慢性病生活方式、医学、和营养学讨论会。

奥密克戎新变株:关于BA.2毒株你需要了解这些

3月24日,世界卫生组织宣布BA.2毒株已成为奥密克戎在全球范围内的主要流行毒株,占据世界新增病例的86%。目前在中国上海、吉林等地肆虐的主要毒株就是Omicron子变体BA.2。

世界提高自闭症意识日|是什么遗传工具揭示了自闭症的生物学?

现代技术使研究人员能够更详细地探索发育障碍背后的分子机制。

清明时节:“清”健康,请健康!警惕没有早期预警信号的前列腺癌

UCLA Health医疗中心男性诊所主任Jesse Mills博士提醒广大男性,由于“没有前列腺癌的早期预警信号”,因此定期检查更为重要,包括每年进行一次前列腺检查和相关的血液检查。幸运地是,早期筛查能够明显有效提高预防或治疗的效果。

【国际交流】罕见妇科肿瘤MDT分享会

2022年3月5日上午,由UCLA Health和国家癌症中心/中国医学科学院肿瘤医院牵头发起的第3场肿瘤委员会MDT讨论成功举行。