作者 Nikki Lin,加州大学洛杉矶分校
加州大学洛杉矶分校与NantWorks的研究人员近期开发了一种由人工智能驱动的装置,可以在几毫秒内检测识别癌细胞,比以前的方法快数百倍。以这样的速度,此发明使得在检测到癌细胞后立即从血液中取出癌细胞成为可能,从而防止疾病在体
作者 Nikki Lin,加州大学洛杉矶分校
加州大学洛杉矶分校与NantWorks的研究人员近期开发了一种由人工智能驱动的装置,可以在几毫秒内检测识别癌细胞,比以前的方法快数百倍。以这样的速度,此发明使得在检测到癌细胞后立即从血液中取出癌细胞成为可能,从而防止疾病在体
发现
众所周知,当癌症扩散到中枢神经系统其治疗将十分困难。而最近,UCLA Health医疗中心的研究人员发明了一款药物运输系统,打破了脑血管障壁的阻碍,帮助癌症治疗药物进入到中枢神经。
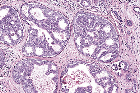
加州大学洛杉矶分校的研究人员开发了一种人工智能系统,可以帮助病理学家更准确地解读活检组织,以更好地检测并诊断乳腺癌。
加州大学洛杉矶分校的研究人员开发了一种新的人工智能系统,以帮助放射科医生提高其诊断前列腺癌的能力。该系统名为FocalNet,通过评估磁共振成像 (MRI) 与其他扫描成像来识别并预测疾病,其准确程度与经验丰富的放射科医生几乎相同。经测试,FocalNet 读取磁共振成像的准确度为 80.5%,而具有至少10年经验的放射